Q1 / 20
医用画像撮影技術学
JIS規格診断用MR装置用ファントムの構成部品を図に示す。zに直交する面(xy面)の撮影で点検する項目はどれか。
- 1均一性
- 2空間分解能
- 3スライス厚
- 4幾何学的ひずみ
- 5画像コントラスト
Q2 / 20
医用画像撮影技術学
MRIと関連事項の組合せで正しいのはどれか。
- 1拡散強調像 ――
TOF法
- 2脂肪抑制法 ――
b値
- 3非造影灌流MRI
―― ASL〈arterial spin labeling〉
- 4MR
hydrography ―― BOLD効果
- 5functional
MRI ―― 化学シフト
Q3 / 20
医用画像撮影技術学
超音波検査用造影剤(ペルフルブタン)で正しいのはどれか。
- 1主に呼気中に排泄される。
- 2気泡径は10
nm程度である。
- 3クッパー細胞には取り込まれない。
- 4腎機能障害のある患者には禁忌である。
- 5体重50
kgの患者には100 mL程度を静注する。
Q4 / 20
医用画像撮影技術学
無散瞳眼底写真撮影で正しいのはどれか。
- 1明室では撮影できない。
- 2観察光には赤外線を用いる。
- 3黄斑部と視神経乳頭を重ねて撮影する。
- 4画角を大きくすると撮影範囲は狭くなる。
- 5瞳孔径が5
mm以上なければ撮影できない。
Q5 / 20
医用画像撮影技術学
乳房のMR像(別冊No.1)を別に示す。この画像で正しいのはどれか。
- 1T1強調像である。
- 2位相方向は前後方向である。
- 3脂肪抑制法が併用されている。
- 4右乳房腫瘤は骨格筋と比較し低信号である。
- 5大動脈の内腔は高信号として描出されている。
Q6 / 20
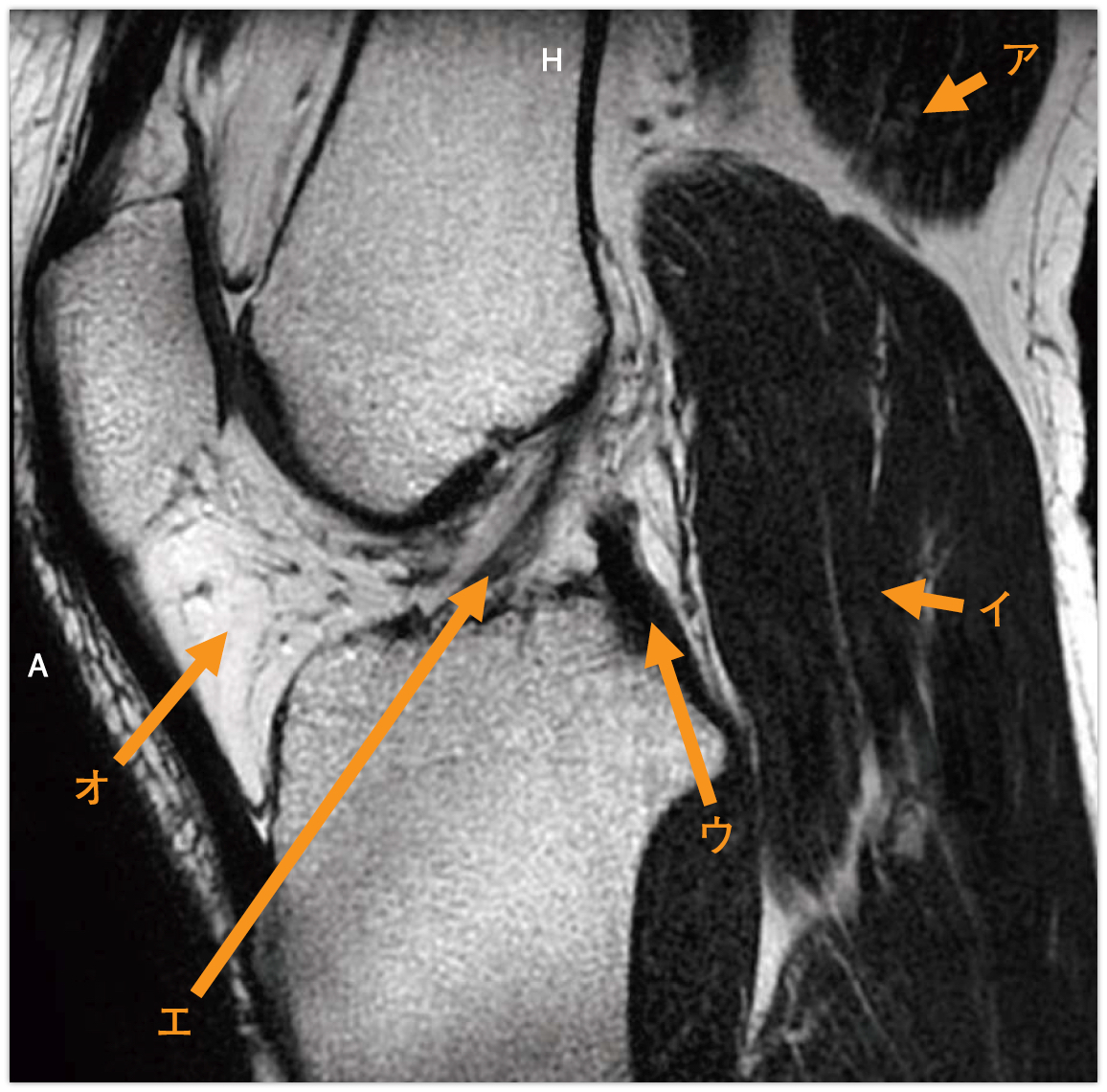
医用画像撮影技術学
膝関節MR像(別冊No.2)を別に示す。正しい組合せはどれか。
- 1ア
腓腹筋
- 2イ
外側広筋
- 3ウ
内側半月板
- 4エ
前十字靱帯
- 5オ
膝蓋靱帯
Q7 / 20
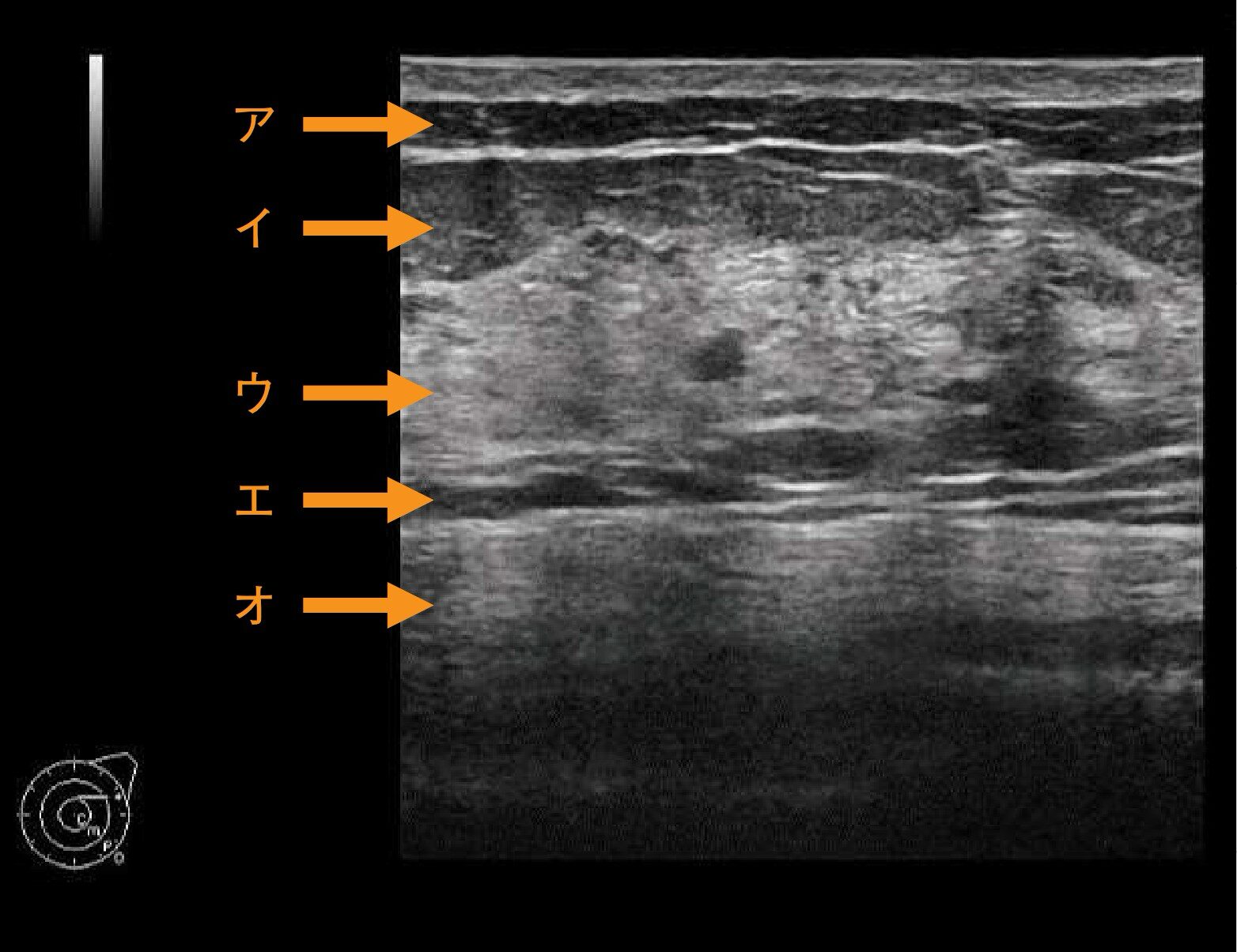
医用画像撮影技術学
乳房超音波像(別冊No.3)を別に示す。乳腺組織はどれか。
Q8 / 20
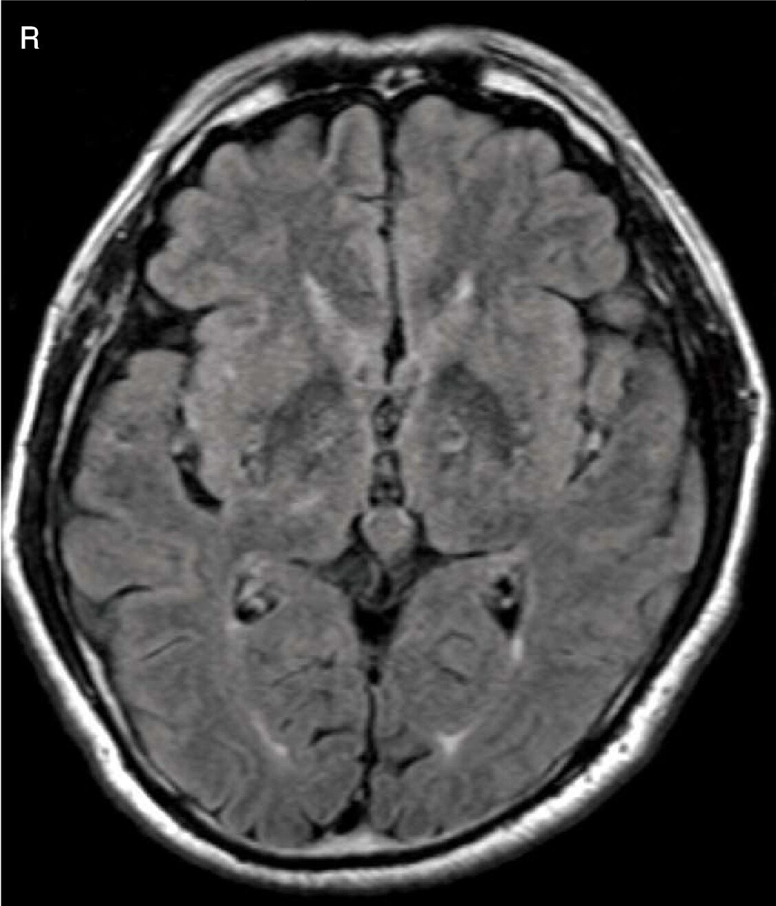
医用画像撮影技術学
急性期脳梗塞の頭部MRIのFLAIR像(別冊No.4A)及び拡散強調像(別冊No.4B)を別に示す。病変の部位はどれか。
Q9 / 20
医用画像撮影技術学
MRCP像(別冊No.5)を別に示す。結石が存在するのはどれか。
Q10 / 20
医用画像撮影技術学
同一腫瘤の腹部超音波像(別冊No.6A)とMR像(別冊No.6B)を別に示す。矢印の腫瘤の画像所見から判別できる成分はどれか。
Q11 / 20
核医学検査技術学
放射性核種の分離法で正しいのはどれか。
- 1共沈法は溶解度積の法則を利用する。
- 2電気泳動法はイオン化傾向の差を利用する。
- 3ラジオコロイド法はイオン交換樹脂によるろ過を利用する。
- 4電気化学的分離法はイオン交換体の分布係数の違いを利用する。
- 5Szilard-Chalmers〈ジラード・チャルマー〉法ではRf値の違いを利用する。
Q12 / 20
核医学検査技術学
99Mo-99mTcジェネレータで99mTcを溶出するのに用いられるのはどれか。
- 1蒸留水
- 2生理食塩水
- 35%ブドウ糖液
- 410%アミノ酸液
- 50.1
mol/L塩酸水溶液
Q13 / 20
核医学検査技術学
X線CTを用いたSPECT減弱補正でCT値から線減弱係数への変換テーブル作成に関係するのはどれか。2つ選べ。
- 1収集時間
- 2CT管電圧
- 3被検者の体格
- 4放射性医薬品の投与量
- 5放射性核種のエネルギー
Q14 / 20
核医学検査技術学
Silicon photomultiplier〈SiPM〉PET検出器で正しいのはどれか。
- 1冷却が不要である。
- 2磁場の影響を受ける。
- 3光子数を求めることができない。
- 4光電子増倍管より時間分解能が高い。
- 5物理的サイズは光電子増倍管と同等である。
Q15 / 20
核医学検査技術学
PETで正しいのはどれか。
- 1エミッションスキャンは放射性医薬品の投与前に行う。
- 2ノーマライズスキャンは減弱補正のためのデータ収集である。
- 3トランスミッションスキャンは各検出器の感度のばらつきを補正する。
- 4クロスキャリブレーションによって放射能濃度値からPET値(cps/pixel)に変換する。
- 5SUVの算出にはPET装置とドーズキャリブレータとのクロスキャリブレーションが必要である。
Q16 / 20
核医学検査技術学
脳SPECTで正しいのはどれか。
- 1123I-IMPは主に線条体に集積する。
- 2123I-イオマゼニルは大脳白質に集積する。
- 3123I-イオフルパンは投与後速やかに撮影する。
- 499mTc-HMPAOは標識後数時間は安定である。
- 599mTc-ECDは高血流域で血流量を過小評価する。
Q17 / 20
核医学検査技術学
呼吸器核医学検査で正しいのはどれか。2つ選べ。
- 199mTc-MAAは脳への生理的集積を認める。
- 2右左シャントが疑われる場合は全身像を撮影する。
- 3肺高血圧症では99mTc-MAAの集積が上肺野で欠損する。
- 4肺塞栓症では81mKrと99mTc-MAAの集積ミスマッチを起こす。
- 599mTc-MAAの投与時は注射器内への血液の逆流があることを確認する。
Q18 / 20
核医学検査技術学
肝受容体シンチグラフィの血中滞在率指標を示す式はどれか。
- 1H3/H15
- 2H15/H3
- 3H3/(H3+H15)
- 4H15/(H15+L15)
- 5L15/(H15+L15)
Q19 / 20
核医学検査技術学
骨シンチグラフィで正しいのはどれか。
- 1骨折では集積が低下する。
- 2骨代謝亢進部位に集積する。
- 3骨肉腫では集積が欠損する。
- 4腸管に生理的集積を認める。
- 5多発骨転移ではbone scan index〈BSI〉が低下する。
Q20 / 20
核医学検査技術学
核医学治療で使われる核種で物理的半減期が最も短いのはどれか。
- 189Sr
- 290Y
- 3131I
- 4177Lu
- 5223Ra