Q81 / 20放射線機器工学
医薬品医療機器等法における医療機器とクラス分類の組合せで正しいのはどれか。
- 1MRI装置
クラスII
- 2血管撮影装置
クラスIII
- 3超音波診断装置
クラスI
- 4放射線治療装置
クラスIV
- 5画像診断用ディスプレイ クラスIII
Q82 / 20医用画像撮影技術学
歯科用コーンビームCT装置で正しいのはどれか。
- 190度回転して撮影する。
- 2視野サイズが変更できない。
- 3ヘリカルスキャンを用いる。
- 4幾何学的ひずみ補正が必要である。
- 5検出器にイメージングプレートが用いられる。
Q83 / 20医用画像撮影技術学
X線撮影におけるグリッドの使用で正しいのはどれか。
- 1鮮鋭度が低下する。
- 2粒状性が向上する。
- 3被ばく線量が減少する。
- 4画像コントラストが向上する。
- 5骨組織でのX線透過性が減少する。
Q84 / 20医用画像撮影技術学
一般撮影の診断参考レベルにおいて入射表面線量が最も低い撮影はどれか。
- 1頭部正面
- 2頸椎正面
- 3胸部正面
- 4腰椎正面
- 5骨盤正面
Q85 / 20医用画像撮影技術学
頭部X線写真(別冊No.7)を別に示す。撮影方法で正しいのはどれか。
- 1グリッドは使用しない。
- 2X線の射出点を鼻根とする。
- 340~50
kVの管電圧で撮影する。
- 4中心X線は検出器面に対し垂直に入射する。
- 5ドイツ水平線は検出器面に対し60度とする。
Q86 / 20医用画像撮影技術学
乳房MLO方向撮影で正しいのはどれか。2つ選べ。
- 1圧迫圧は40
N程度とする。
- 2乳房圧迫後に乳房支持台の角度を決定する。
- 3非検側乳房が照射野内に入らないようにする。
- 4乳房外側上部がブラインドエリアとなりやすい。
- 5乳房支持台の角度を被検者の大胸筋と平行に合わせる。
Q87 / 20医用画像撮影技術学
IVRで使用するガイドワイヤで正しいのはどれか。
- 1滅菌して再利用できる。
- 2造影剤の誘導に用いられる。
- 3血管刺入部の止血に用いられる。
- 4血管内カテーテルの誘導に用いられる。
- 5カテーテルの長さよりも短いものが用いられる。
Q88 / 20医用画像撮影技術学
X線CTのアーチファクトと低減策の組合せで正しいのはどれか。2つ選べ。
- 1メタルアーチファクト
―― 管電圧を下げる。
- 2ストリークアーチファクト ―― 被検者を固定する。
- 3パーシャルボリューム効果 ―― 薄いスライス厚を用いる。
- 4ステアステップアーチファクト ―― ピッチ係数を小さくする。
- 5ビームハードニングアーチファクト ―― 管電流を上げる。
Q89 / 20医用画像撮影技術学
骨塩定量用のファントム写真(別冊No.8)を別に示す。これを使用する測定法はどれか。
- 1定量的CT〈QCT〉法
- 2定量的超音波〈QUS〉法
- 3X線写真濃度測定〈RA〉法
- 4単一エネルギーX線吸収測定〈SXA〉法
- 5二重エネルギーX線吸収測定〈DXA〉法
Q90 / 20医用画像撮影技術学
頸椎のX線写真(別冊No.9)を別に示す。矢印で示すのはどれか。
- 1棘突起
- 2椎間腔
- 3椎間孔
- 4椎弓根
- 5Luschka関節
Q91 / 20医用画像撮影技術学
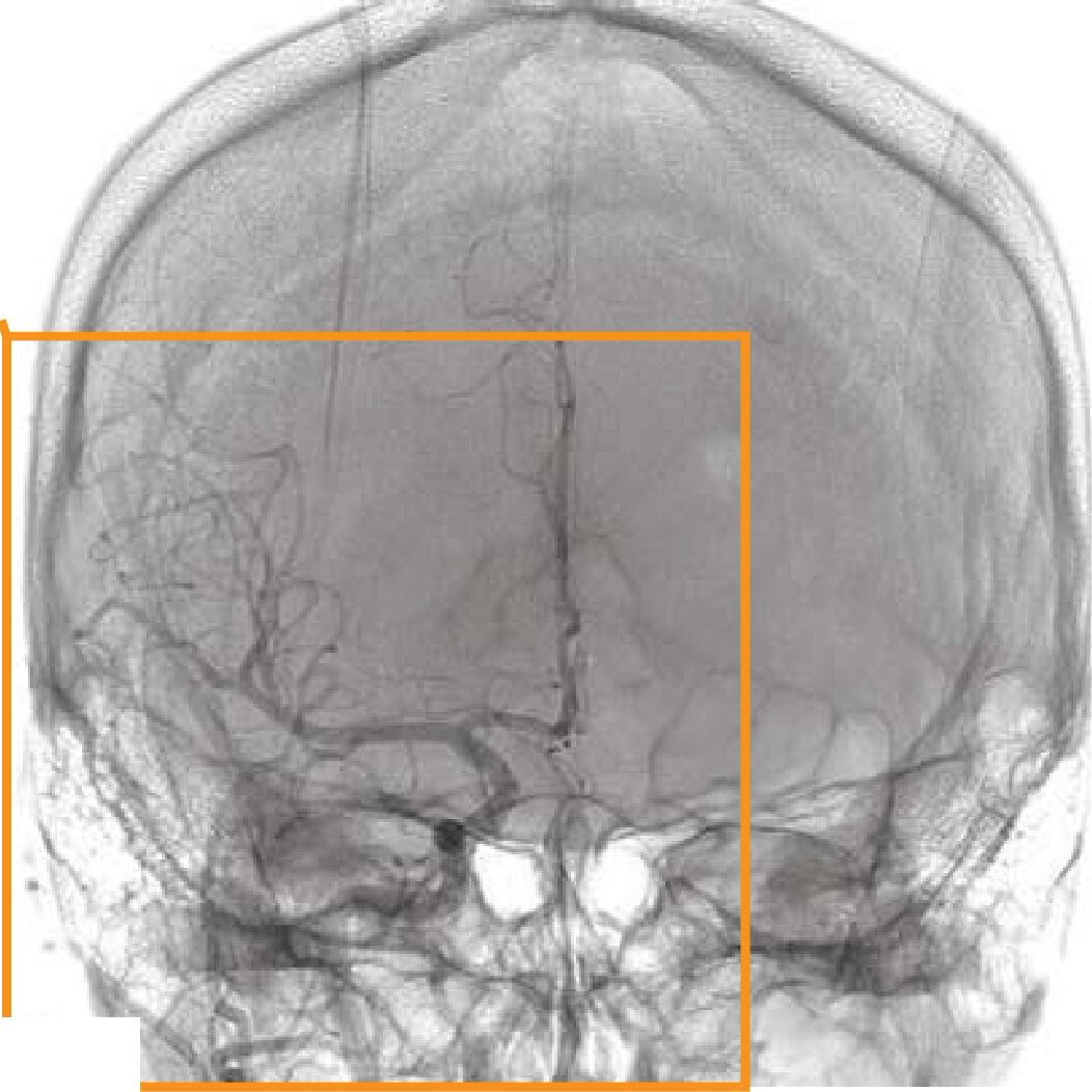
頭部の血管造影写真(別冊No.10)を別に示す。矢印で示すのはどれか。
- 1椎骨動脈
- 2内頸動脈
- 3脳底動脈
- 4浅側頭動脈
- 5中大脳動脈
Q92 / 20医用画像撮影技術学
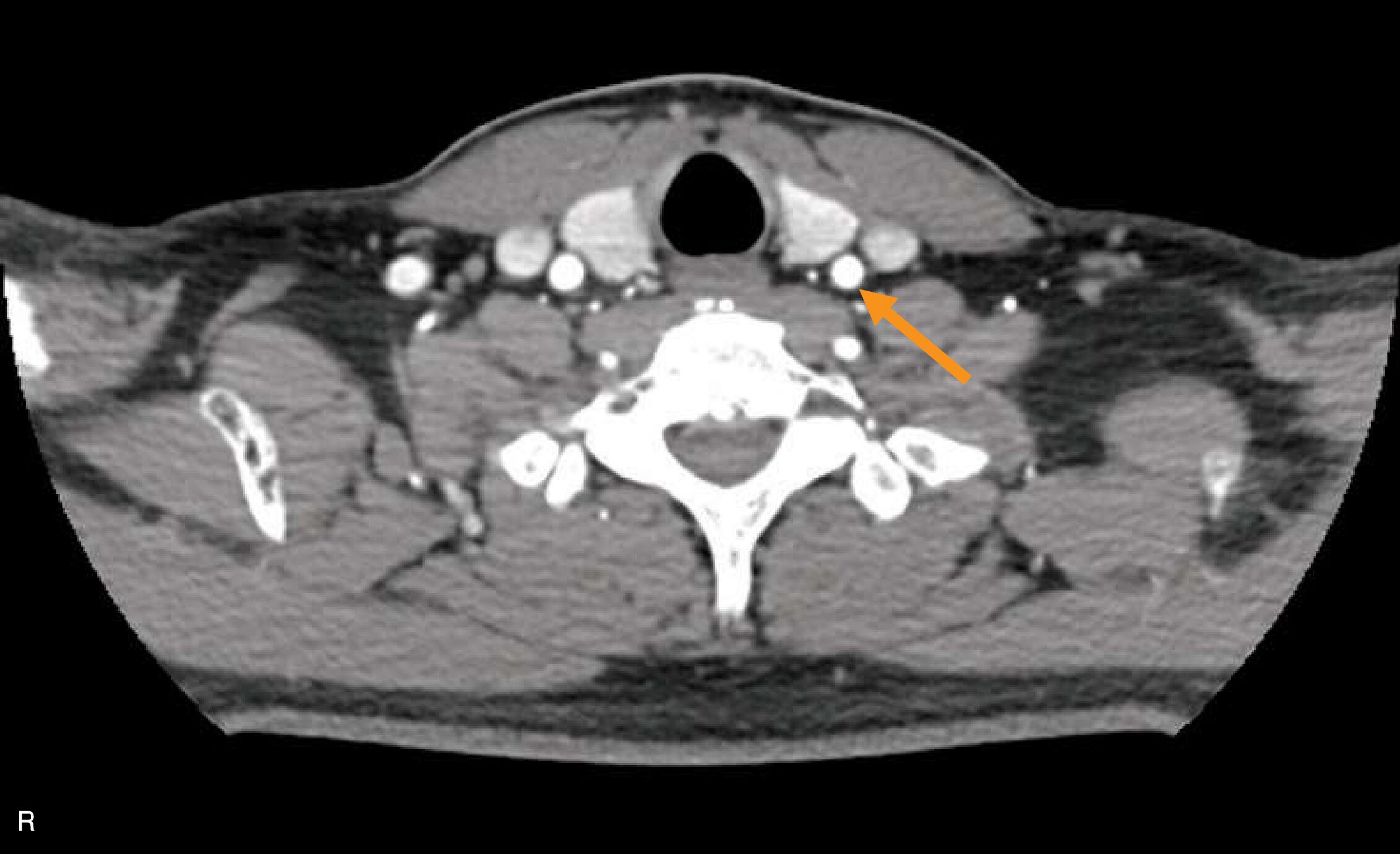
頸部の造影CT像(別冊No.11)を別に示す。矢印で示すのはどれか。
Q93 / 20画像工学
デジタルX線画像における雑音に最も影響を及ぼす因子はどれか。
- 1画像の輝度
- 2画像の彩度
- 3焦点サイズ
- 4後方散乱係数
- 5X線量子モトル
Q94 / 20画像工学
図のような周期パターンのMichelsonコントラストはどれか。(最大30、最小25の場合など)
Q95 / 20画像工学
エッジ法によるプリサンプルドMTFで正しいのはどれか。
- 1単位はmm2である。
- 2ESFのトレンド補正をする。
- 3LSFはESFを微分して得る。
- 4LSFのパワースペクトルである。
- 5金属エッジを画素列に対して15度傾けて撮影する。
Q96 / 20放射線安全管理学
男性の業務従事者が防護衣(体幹部)を着衣し、頸部(Ha)と防護衣内側(Hb)に着用した。実効線量の算出式はどれか。
- 10.11Ha
- 20.08Ha + 0.92Hb
- 30.11Ha + 0.89Hb
- 40.11Ha + 0.89Hc
- 50.08Ha + 0.44Hb +
0.48Hc
Q97 / 20放射線安全管理学
診療放射線技師法で規定されている業務範囲で正しいのはどれか。2つ選べ。
- 1採血のための静脈路確保
- 2造影剤副作用時のアドレナリン筋肉内投与
- 3造影剤注入装置で造影剤を投与するための静脈路確保
- 4造影剤注入装置で造影剤を投与するための動脈路確保
- 5下部消化管検査のために肛門に挿入したカテーテルからの空気吸引
Q98 / 20放射線安全管理学
放射性同位元素等規制法で誤っているのはどれか。
- 1原子力基本法の精神にのっとっている。
- 2サイクロトロンは放射線発生装置に該当する。
- 31メガ電子ボルト未満のエネルギーを有するエックス線は放射線の定義に含まれる。
- 4放射線障害予防規程を変更した場合、30日以内に届け出なければならない。
- 5特定放射性同位元素は、人の健康に重大な影響を及ぼすおそれがあるものである。
Q99 / 20放射線安全管理学
ICRP 2007年勧告における組織加重係数で大きい順に並んでいるのはどれか。
- 1甲状腺―生殖腺―皮膚―乳房
- 2生殖腺―乳房―甲状腺―皮膚
- 3生殖腺―乳房―皮膚―甲状腺
- 4乳房―甲状腺―生殖腺―皮膚
- 5乳房―生殖腺―甲状腺―皮膚
Q100 / 20放射線安全管理学
放射性汚染物で不燃物に該当するのはどれか。
- 1注射針
- 2ポリバイアル
- 3HEPAフィルタ
- 4チャコールフィルタ
- 5プラスチックチューブ