Q1 / 20医用画像撮影技術学
MRI検査室の管理で正しいのはどれか。
- 1撮影室内の照明は蛍光灯を使用する。
- 20.4
T以下の装置では電波法の申請が不要である。
- 3永久磁石型装置では強制クエンチ用排気スイッチを設置する。
- 4電波シールドの設置目的は漏えい電波と外来電波の影響を防ぐためである。
- 5JIS規格では漏えい磁場が0.2 mTを超える領域に立入制限の境界線を引く。
Q2 / 20医用画像撮影技術学
脳卒中が疑われる場合のMRIの撮影順で適切なのはどれか。
- 1MRA→拡散強調像→FLAIR像→T2強調像→T1強調像→T2*強調像
- 2T1強調像→T2強調像→FLAIR像→T2*強調像→MRA→拡散強調像
- 3T1強調像→T2強調像→T2*強調像→拡散強調像→MRA→FLAIR像
- 4拡散強調像→MRA→FLAIR像→T2*強調像→T2強調像→T1強調像
- 5拡散強調像→T1強調像→T2*強調像→FLAIR像→T2強調像→MRA
Q3 / 20医用画像撮影技術学
成人の超音波検査で最も高い周波数のプローブを用いるのが適切なのはどれか。
- 1門脈
- 2脾静脈
- 3総頸動脈
- 4上行大動脈
- 5腹部大動脈
Q4 / 20医用画像撮影技術学
MRIの拡散強調像で正しいのはどれか。2つ選べ。
- 1真の拡散係数が得られる。
- 2組織のT2値の影響を受ける。
- 3急性期脳梗塞で低信号を呈する。
- 4b値が低いほど拡散が強調される。
- 5水分子のブラウン運動を画像化している。
Q5 / 20医用画像撮影技術学
MR像(別冊No.1)を別に示す。矢印で示すアーチファクトの原因はどれか。
- 1金属
- 2磁化率
- 3折り返し
- 4化学シフト
- 5動脈の拍動
Q6 / 20医用画像撮影技術学
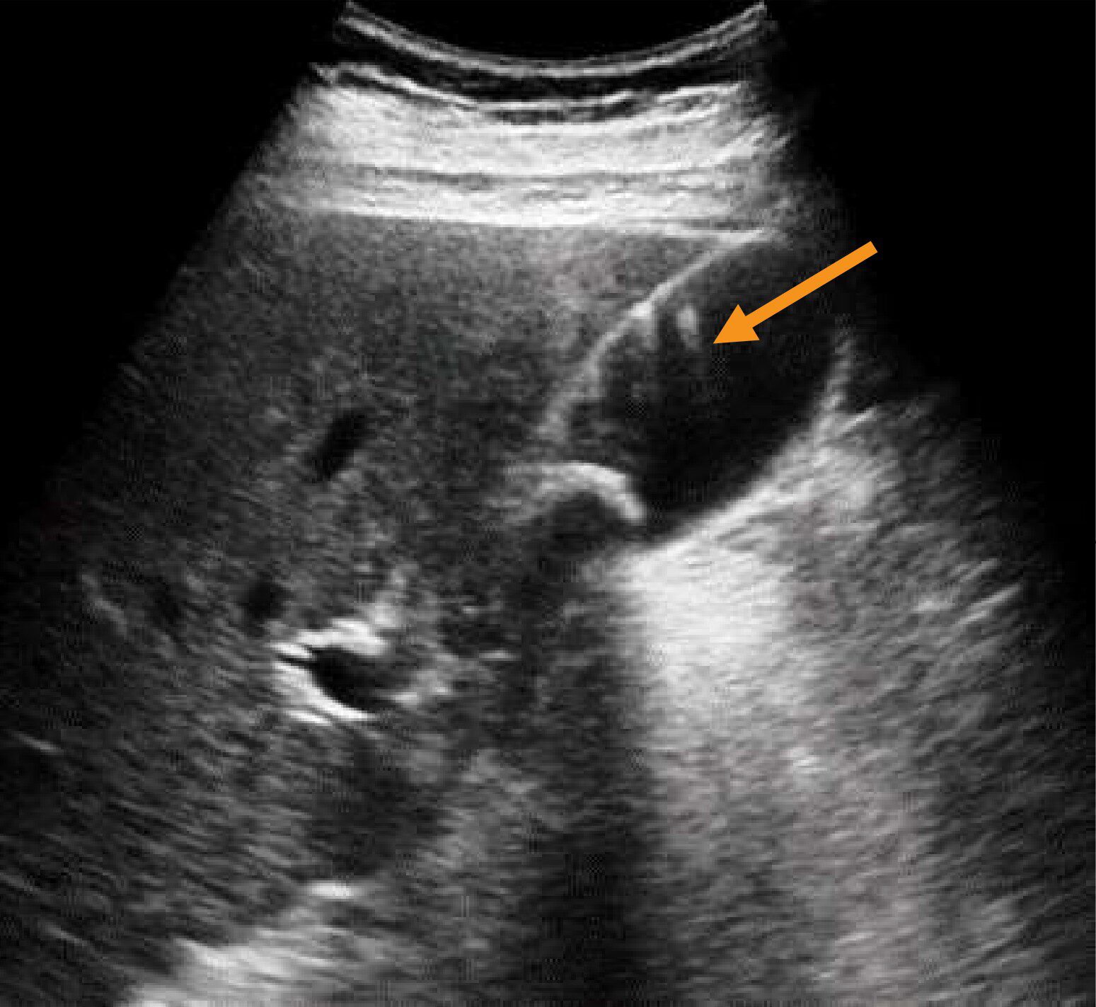
右季肋部縦走査の超音波像(別冊No.2)を別に示す。矢印で示すアーチファクトはどれか。
- 1音響陰影
- 2外側陰影
- 3鏡面反射
- 4側方陰影
- 5多重反射
Q7 / 20医用画像撮影技術学
頭部MRIのFLAIR像で最も高信号を呈するのはどれか。
- 1側脳室
- 2眼窩脂肪
- 3頭蓋骨皮質
- 4大脳基底核
- 5シルビウス裂
Q8 / 20医用画像撮影技術学
頭部MRAのMIP像(別冊No.3A)及び3D再構成像(別冊No.3B)を別に示す。矢印で示す動脈瘤の部位はどれか。
- 1脳底動脈
- 2後交通動脈
- 3後大脳動脈
- 4前交通動脈
- 5中大脳動脈
Q9 / 20医用画像撮影技術学
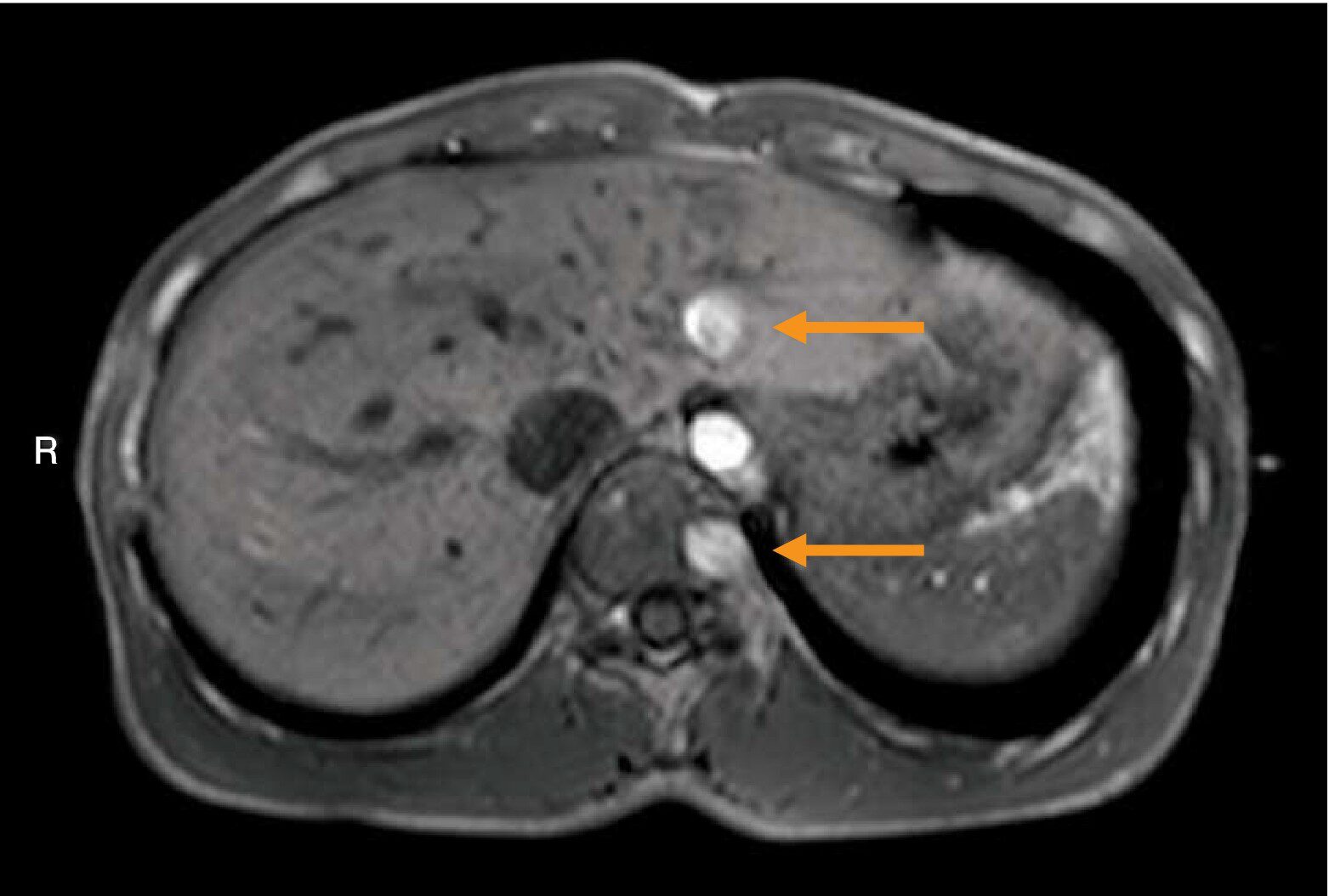
胸部MR像(別冊No.4)を別に示す。矢印で示す血管と直接交通しているのはどれか。
- 1右心房
- 2右心室
- 3左心房
- 4左心室
- 5下大静脈
Q10 / 20医用画像撮影技術学
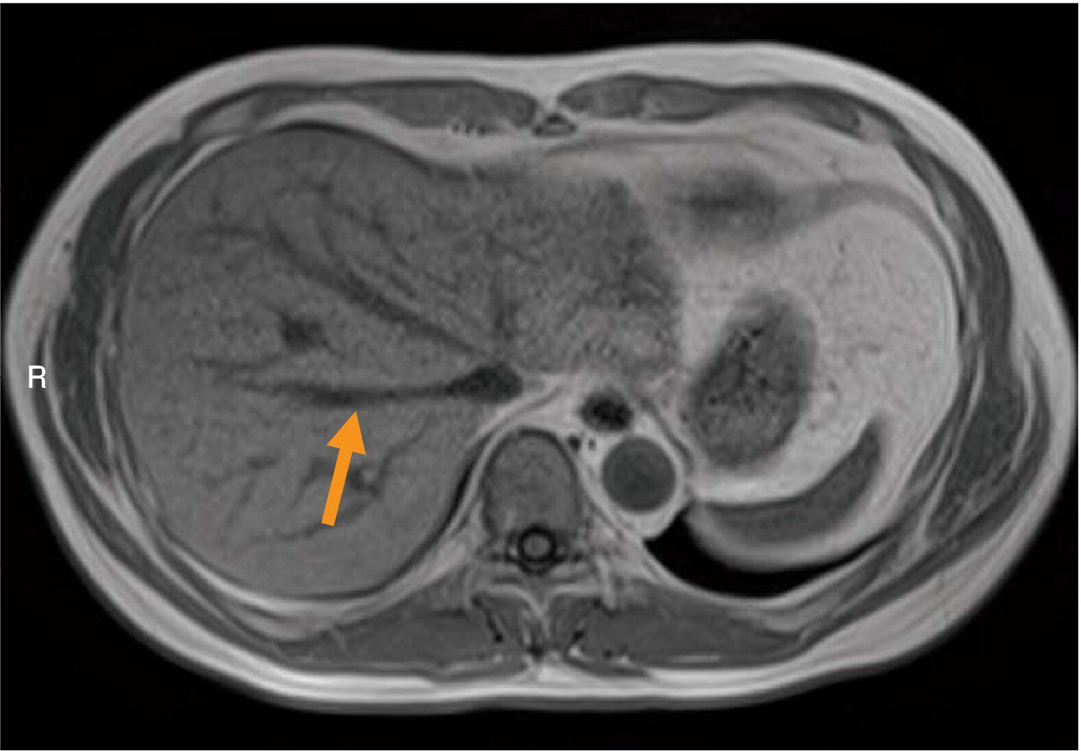
腹部MRIのT1強調像(別冊No.5)を別に示す。矢印で示すのはどれか。
Q11 / 20核医学検査技術学
標識化合物の純度で正しいのはどれか。
- 1標識率は放射性核種純度と同義である。
- 2放射性核種純度検定に高速液体クロマトグラフィが用いられる。
- 3標識化合物を長時間保存した場合、放射化学的不純物が生成される。
- 4化学的純度は目的とする化学形で放射性核種が全放射能に占める割合をいう。
- 5放射化学的純度は化学形に関係なく原子放射が全放射能に占める割合をいう。
Q12 / 20核医学検査技術学
ガンマカメラで正しいのはどれか。2つ選べ。
- 1シンチレータが厚いほど空間分解能が高い。
- 2位置計算には抵抗マトリクス方式が用いられる。
- 3NaI(Tl)シンチレータの厚さは2インチ程度である。
- 4エネルギー演算機構はZ信号加算回路と波高分析器からなる。
- 5入射γ線エネルギーが高いほど光電吸収検出効率は高い。
Q13 / 20核医学検査技術学
PET装置の性能評価法(NEMA NU 2-2018)の項目でないのはどれか。
- 1感度
- 2均一性
- 3空間分解能
- 4散乱フラクション
- 5PET/CTの重ね合わせ精度
Q14 / 20核医学検査技術学
脳血流SPECTデータ解析で正しいのはどれか。
- 1統計学的画像解析では灰白質体積を評価する。
- 2パトラックプロット法では採血は不要である。
- 3統計学的画像解析では手動で関心領域を設定する。
- 4Zスコアの算出にはダイナミック画像が必要である。
- 5コンパートメント解析はスタティック画像で行われる。
Q15 / 20核医学検査技術学
空間分解能補正を組み込んだPET画像再構成法で集積部の辺縁を縁取ったような高集積を生じるアーチファクトはどれか。
- 1アップワードクリープ
- 2ギブスアーチファクト
- 3スターアーチファクト
- 4ストリークアーチファクト
- 5トランケーションアーチファクト
Q16 / 20核医学検査技術学
正常の脳核医学画像(別冊No.6)を別に示す。使用した放射性医薬品はどれか。
- 1123I-IMP
- 218F-FDG
- 315O-CO2ガス
- 4123I-イオフルパン
- 518F-フルテメタモル
Q17 / 20核医学検査技術学
放射性医薬品の投与前に甲状腺ブロックが必要な検査はどれか。
- 1肝胆道シンチグラフィ
- 2甲状腺シンチグラフィ
- 3唾液腺シンチグラフィ
- 4副甲状腺シンチグラフィ
- 5副腎皮質シンチグラフィ
Q18 / 20核医学検査技術学
腎シンチグラフィで正しいのはどれか。
- 1腎動態シンチグラフィでは分腎機能が評価できる。
- 299mTc-DMSAは腎尿細管から速やかに排泄される。
- 399mTc-MAG3は腎静態シンチグラフィに用いられる。
- 4腎静態シンチグラフィではカプトプリル負荷が行われる。
- 5腎排泄機能障害の症例では腎動態シンチグラフィは禁忌である。
Q19 / 20核医学検査技術学
18F-FDG PETで褐色脂肪への生理的集積と最も関連があるのはどれか。
Q20 / 20核医学検査技術学
ソマトスタチン受容体シンチグラフィで正しいのはどれか。2つ選べ。
- 1標識核種は123Iである。
- 2撮影直前に排尿を行う。
- 3神経内分泌腫瘍に集積する。
- 4高分化腫瘍では低分化腫瘍より集積が低い。
- 5消化管の生理的集積は後期像より早期像で頻度が高い。