Q81 / 20医用画像機器学
医療機器の品質管理で正しいのはどれか。
- 1不変性試験は納入業者が行う。
- 2日常点検は始業点検のみである。
- 3機器設置前に現状試験を実施する。
- 4新規の機器設置時に受入試験を実施する。
- 5医療機器安全管理責任者は医師の資格が必要である。
Q82 / 20医用画像機器学
I.I.の性能評価項目で正しいのはどれか。2つ選べ。
- 1最大輝度
- 2変換係数
- 3輝度均一性
- 4時間分解能
- 5量子検出効率
Q83 / 20医用画像撮影技術学
X線撮影における基準点・線(別冊No.7)を別に示す。正しい組合せはどれか。
- 1ア
喉頭隆起
- 2イ
剣状突起
- 3ウ
肩甲骨下線
- 4エ
Jacoby〈ヤコビー〉線
- 5オ
小転子
Q84 / 20医用画像撮影技術学
焦点サイズが0.1 mmのX線管を使用して拡大撮影を行う。半影を0.2 mmまで許容できるとき、最大となる拡大率[倍]はどれか。
Q85 / 20医用画像撮影技術学
血管造影検査で患者の被ばく低減につながるのはどれか。
- 1照射野を広くする。
- 2透視時間を長くする。
- 3幾何学的拡大透視を多用する。
- 4透視時のパルスレートを下げる。
- 5撮影時のフレームレートを上げる。
Q86 / 20医用画像撮影技術学
X線撮影体位(別冊No.8)を別に示す。撮影法で正しいのはどれか。
- 1Lorenz〈ローレンツ〉法
- 2Guthmann〈グースマン〉法
- 3Anthonsen〈アントンセン〉法
- 4Rosenberg〈ローゼンバーグ〉法
- 5Lauenstein〈ラウエンシュタイン〉法
正解
4. Rosenberg〈ローゼンバーグ〉法
Q87 / 20医用画像撮影技術学
胸部X線撮影で遠距離撮影を行う理由はどれか。
- 1散乱線の減少
- 2肩甲骨陰影の消失
- 3呼吸停止時間の短縮
- 4心臓陰影拡大の抑制
- 5画像コントラストの向上
Q88 / 20医用画像撮影技術学
胃部X線造影検査で正しいのはどれか。2つ選べ。
- 1検査後は飲水を制限する。
- 2胃小区の描出は二重造影で行う。
- 3炭酸ガスを使用して胃を膨らませる。
- 4硫酸バリウムの使用量は500 mL程度である。
- 5Brown〈ブラウン〉法による前処置を実施する。
Q89 / 20医用画像撮影技術学
頭部CTで正しいのはどれか。
- 1上肢を挙上させた体位とする。
- 2白質のCT値は灰白質より高い。
- 3スライスの基準線は耳垂直線とする。
- 4perfusion
CTによって脳循環動態を把握できる。
- 5造影検査ではイオン性モノマー型造影剤を使用する。
Q90 / 20医用画像撮影技術学
最も高いCT値を示すのはどれか。
Q91 / 20医用画像撮影技術学
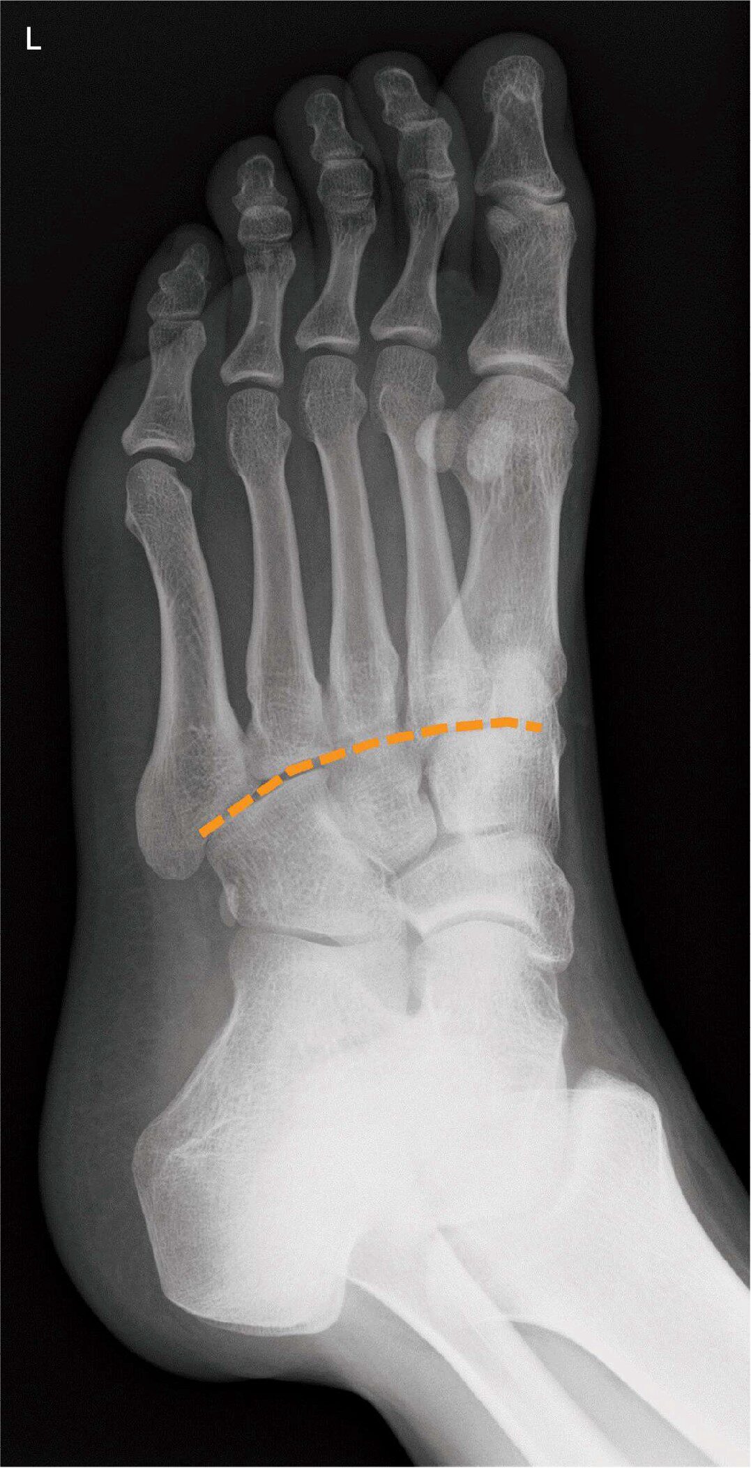
足部のX線写真(別冊No.9)を別に示す。破線で示すのはどれか。
- 1MP関節
- 2DIP関節
- 3PIP関節
- 4Chopart〈ショパール〉関節
- 5Lisfranc〈リスフラン〉関節
Q92 / 20医用画像撮影技術学
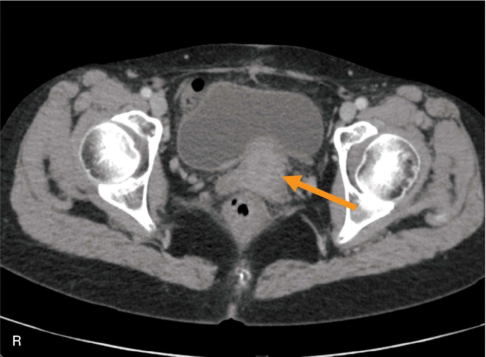
骨盤部のCT像(別冊No.10)を別に示す。矢印で示すのはどれか。
Q93 / 20画像工学
あるデジタルX線画像システムで撮影したときの、単位面積1 mm²当たりの平均入射X線量子数が1,000個で、出力画像のSNRは20であった。このシステムのDQEの値はどれか。
正解
3 (SNR_out² / SNR_in² = 20² / 1000 = 400/1000 = 0.4)
Q94 / 20医用画像撮影技術学
焦点受像器間距離を100 cmから120 cmに変え、その他の条件を同一としてX線撮影を実施した。受像面のX線量の倍数で最も近い値はどれか。
- 10.69
- 20.83
- 31.20
- 41.44
- 52.00
正解
1 ( (100/120)² = (5/6)² = 25/36 ≈ 0.694)
Q95 / 20画像工学
ROC解析で正しいのはどれか。
- 1ROC曲線の横軸は真陽性率である。
- 2ROC曲線下の面積の最大値は0.5である。
- 3ROCの解析結果は物理的評価と一致する。
- 4ROC曲線は信号コントラストの高低に影響されない。
- 5ROC曲線間の統計的有意差検定にJackknife法が用いられる。
Q96 / 20放射線安全管理学
放射性物質を取り込んだ子どもに対する預託実効線量において、摂取した年齢からの評価期間で正しいのはどれか。
- 140歳まで
- 250歳まで
- 360歳まで
- 470歳まで
- 580歳まで
Q97 / 20放射線安全管理学
医療法施行規則の診療用放射線に係る安全管理体制で誤っているのはどれか。
- 1医療放射線安全管理責任者を配置する。
- 2診療用放射線の安全利用のための指針を策定する。
- 3全身用X線CT診断装置の線量管理および線量記録を行う。
- 4放射線の過剰被ばくその他の放射線診療に関する事例発生時の対応等に関する研修を行う。
- 5放射線診療に従事する者に対する安全利用のための研修を2年に1回行う。
Q98 / 20放射線安全管理学
電離放射線障害防止規則で正しいのはどれか。
- 1皮膚の等価線量は500 mSv/月を超えないようにする。
- 2眼の水晶体の等価線量は150 mSv/年を超えないようにする。
- 3妊娠可能な女性の実効線量は5 mSv/3月を超えないようにする。
- 4眼の水晶体の等価線量は6か月ごとに算定、記録および保存をする。
- 5妊娠中の女性の腹部表面に受ける等価線量は2 mSv/3月を超えないようにする。
Q99 / 20放射線安全管理学
GM管式サーベイメータによる表面汚染検査で正しいのはどれか。
- 1β線のエネルギーの測定ができる。
- 230
cm/s程度で素早くプローブを走査する。
- 3最初に時定数を短くして汚染箇所を特定する。
- 4方向を問わず一定の感度でβ線を測定できる。
- 5プローブ全体をアルミニウムフィルタで保護する。
Q100 / 20放射線安全管理学
18Fを200 MBq投与直後に患者から2
mの距離で5分間、年間50回対応した放射線業務従事者の年間被ばく線量[µSv]に最も近いのはどれか。
ただし、18Fの実効線量率定数は0.14 µSv·m²·MBq⁻¹·h⁻¹とする。
正解
1 ( (0.14 * 200 / 2²) * (5/60) * 50 = (28/4) * (1/12) * 50 = 7 * 50 / 12 =
350 / 12 ≈ 29.17)